


Dental emergencies can happen when you least expect them, causing severe pain, discomfort, and distress. At Brilliance Dental, Dr. Juan Hidalgo and our dedicated team provide urgent dental care to relieve pain, prevent complications, and restore your oral health. If you have a dental emergency, don’t wait—call us immediately for prompt treatment!

Severe tooth pain, swelling, infections, broken or knocked-out teeth, bleeding, jaw issues, or dental injuries may require emergency care. Don’t ignore symptoms — early treatment prevents bigger, more costly problems.


We offer emergency dental care at Brilliance Dental in Anaheim to treat various different dental emergencies.

If a tooth can't be saved, emergency extractions are performed with minimal discomfort.

Time is of the essence for knocked out teeth. We offer urgent care in order to improve the chance of a successful reattachment.

In the event of a severe tooth infection causing pain, an emergency root canal may be performed to relieve your symptoms and preserve your tooth.

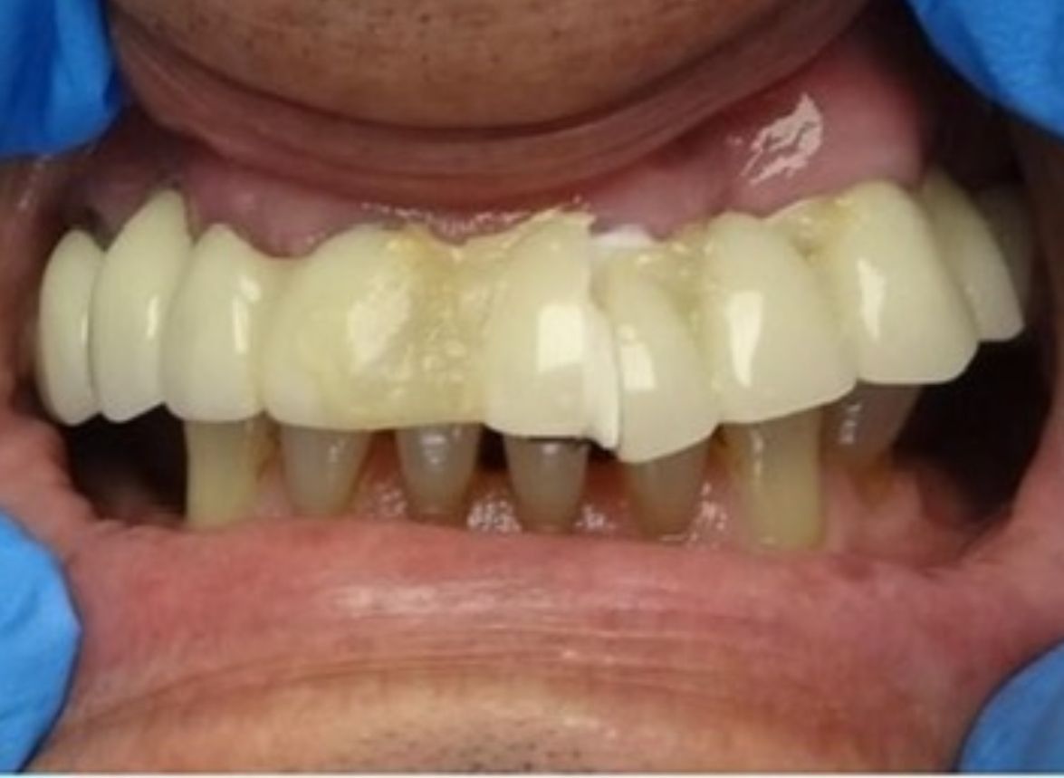
We can repair or replace your dental appliance, such as dentures or bridges, quickly.

Sudden, intense tooth pain can be crippling. We will quickly determine the cause of your pain, be it decay, infection, or trauma. We can then provide you with the proper treatment, including root canals and extractions.

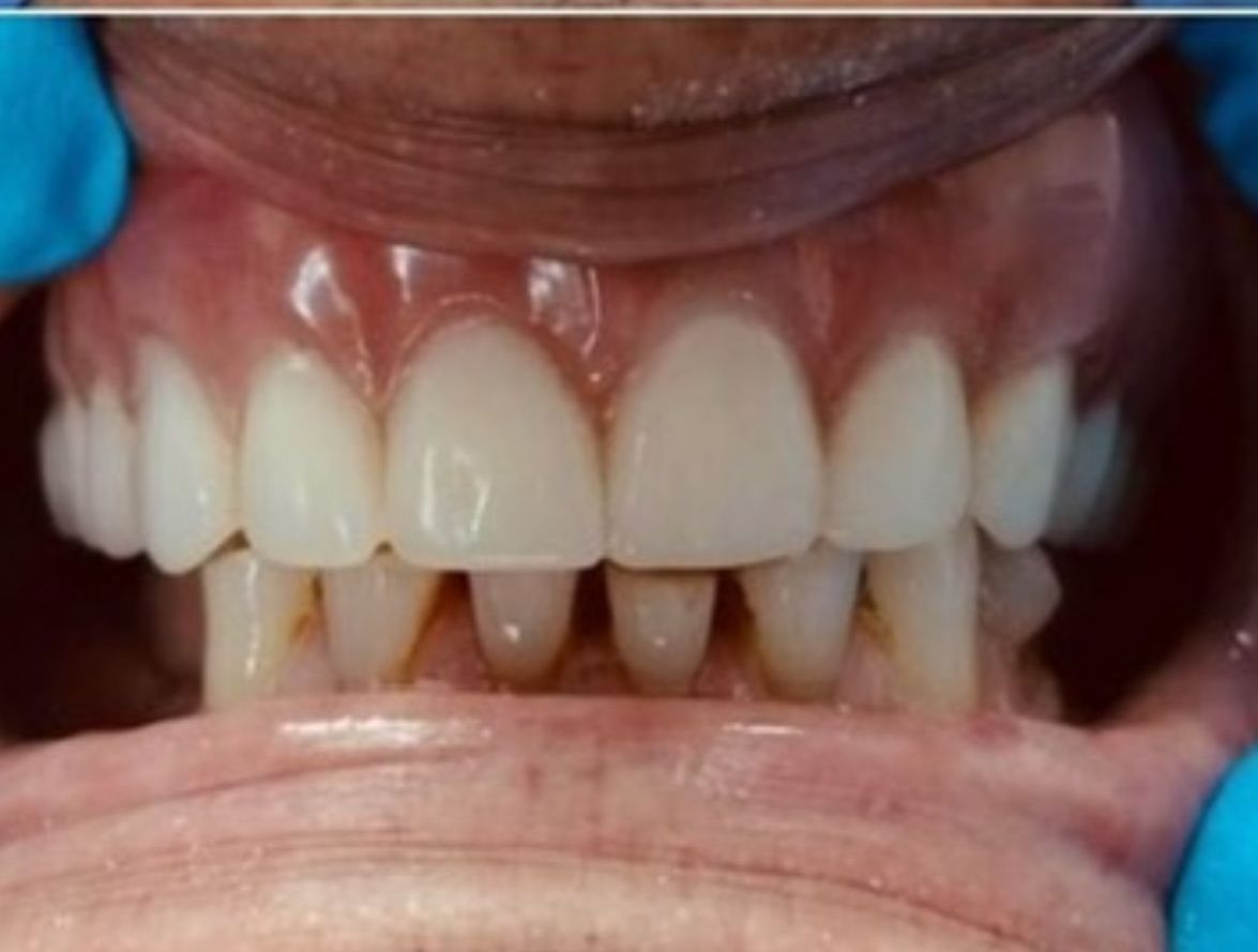
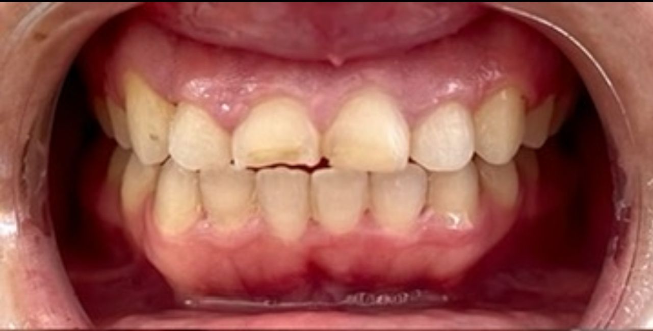
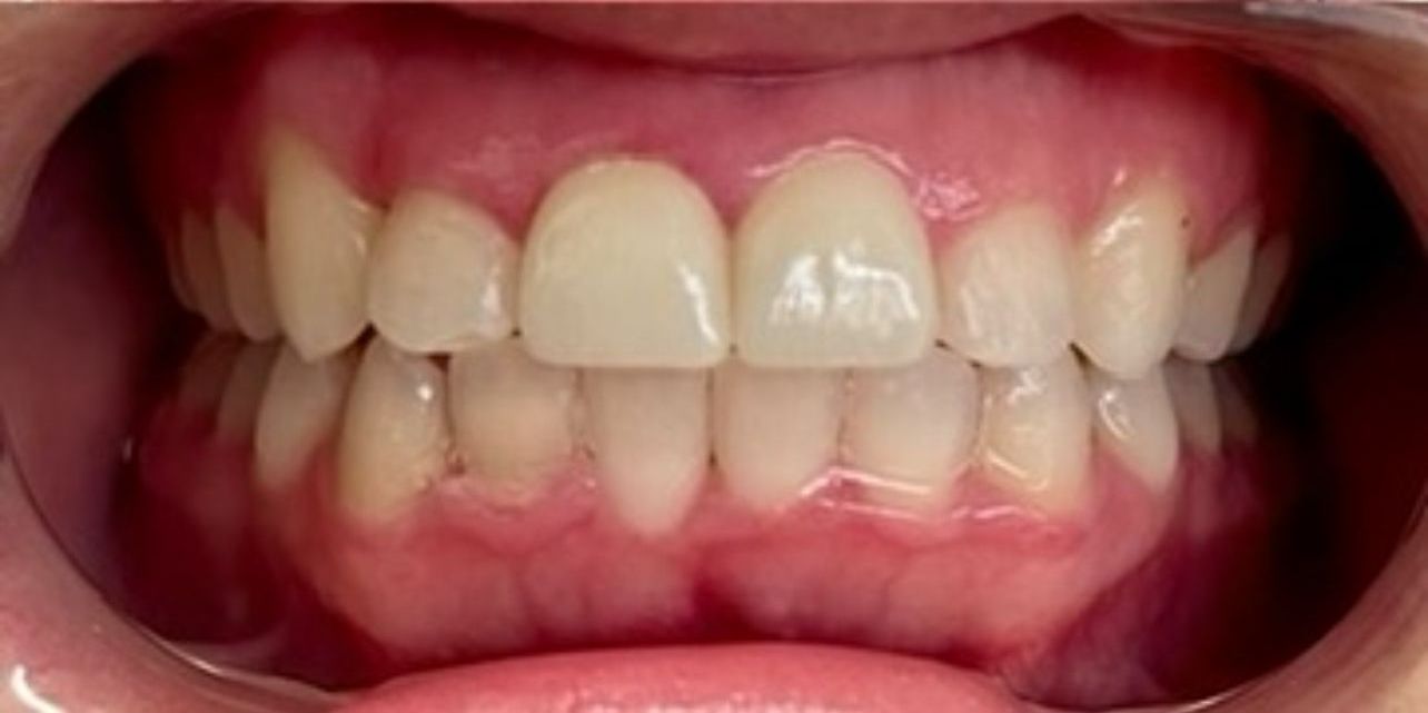
Broken or chipped teeth can be caused by accidents or eating hard food. We will assess the damage and then offer you solutions such as dental crowns or veneers to restore your teeth's appearance and functionality.

A knocked-out tooth requires immediate treatment. Rinse the tooth gently without rubbing it. Bring it to us in an hour. Reinserting the tooth may be possible. We offer other solutions, such as bridges or implants.

If your crown or filling is loose, bring it to your appointment. It is usually possible to reattach the crown or filling to restore functionality and prevent further decay.
The Brillance Dental team is so friendly and kind. The assistant and Dr. Hidalgo were gentle in my xray / initial examination which was awesome because I came in with a painful infection by my wisdom tooth. They helped me understand everything I needed to do to start treatment towards feeling better and I'm grateful for their care. I'll be back for a deep cleaning in the near future!Special shoutout to Emily at the front desk—thank you, girl, for getting me in as soon as possible whenever I needed it! Truly appreciate you. 🙌 Dr. Thomas was so gentle, did amazing work, and gave me great results. I’m beyond satisfied and will definitely be continuing my care with 360 Dental.To mention a great assistant at her side as well 🥹 Thank you to the entire team—you all are awesome!
I had a great experience at Brilliance Dental of Anaheim with Dr. Hidalgo and the entire team. From the moment I walked in, the staff made me feel welcomed and comfortable — the office is clean, inviting, and runs efficiently. Dr. Hidalgo takes the time to listen to your concerns, explains procedures clearly, and is gentle and professional during treatment. Many patients mention how friendly and attentive the team is, how comfortable they feel during appointments, and how the clinic provides personalized care tailored to your needs. The office also works hard to make dental care affordable and accommodating. I highly recommend Dr. Hidalgo and Brilliance Dental for anyone looking for an honest, caring, and high-quality dental provider in Anaheim
This is my 2nd time coming here and I have nothing but nice words to say! For years and years I've suffered from anxiety and depression which lead me to a default in coming in for treatments. Over the years my gums and teeth were becoming worse. It was in 2025 I said enough is enough , I'm going to find a dentist I'm comfortable with and I'm going to commit from there. Short story, after a few hours of research, I found this office.
At Brilliance Dental provides fast, expert emergency care in Anaheim, CA, led by Dr. Juan Hidalgo. With same-day and after-hours appointments, we serve Mayfair, Bustleton, Rhawnhurst, Oxford Circle, and nearby areas to quickly relieve pain and treat urgent dental issues.






While not every issue can be predicted, many dental emergencies are preventable through regular care and smart daily habits. Here’s how to stay ahead:
Visit the dentist every 6 months for checkups and cleanings
Treat small problems (like sensitivity or cracks) early
Use a nightguard if you grind your teeth
Wear a mouthguard for contact sports or recreational activities
Keep gums healthy to prevent abscesses and infections
Maintain excellent brushing and flossing routines
We’ll also provide you with a personalized prevention plan after your emergency visit.

Dr. Hidalgo graduated in Lima, Peru in 1998 receiving his Doctor of Dental Surgery. In 2002 he moved to the United States residing in Eugene Oregon to pursue his career. His journey brought him to California in 2020 with opening his first practice in 2021. With over 22 years of experience, he stays current with the latest techniques through continuous education, ensuring optimal patient comfort. As a member of various dental associations, including the American Dental Association, Orange County Dental Society and the Academy of General Dentistry, he exemplifies commitment to professional excellence. Outside his practice, Dr. Hidalgo values family time, reading books and staying fit.
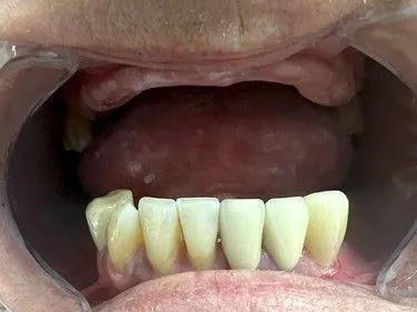
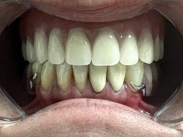
This fixed, full arch implant uses the latest dental technology to give you a dream smile that’s as good as if not better than the smile nature gave you. The full arch:
Resists chips and stains
Offers a permanent solution
Custom-designed for 4-6 implants
Implant stabilized overdentures offer a cost-effective alternative to regular dentures. Overdentures:
Snap into place over 2-4 implants
Help prevent bone loss
Vastly improve your food chewing and tasting
We understand how important it is to be able to restore your dental health and your confidence with a long-term solution. That’s why we offer third-party financing options and work with you on payment plans to fit your budget.
Single Implant Replaced
for as little as
$97/mo*
Implant Retained Dentures
for
$247/mo*
Full Fixed Arch
as low as
$347/mo*
*Subject to Credit Approval
At your consultation, we can review all the options available to you.

At Brilliance Dental of Anaheim, we have put in a great deal of thought and effort into creating an enjoyable patient experience. Our staff will make sure that you have everything you need for a very pleasant visit.